甲状腺b超对备孕有影响吗
大额优惠券阅读:7432025-09-26 16:33:06评论:6
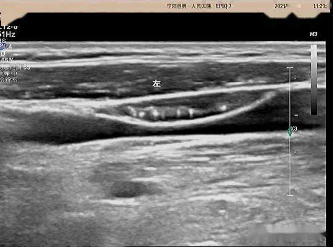
甲状腺B超对备孕没影响。B超是超声波检查,不像X光有辐射。我怀老大前也做过甲状腺B超,当时也担心,后来医生说没事。做B超就是探头在脖子上滑滑,很快就好。备孕检查甲状腺很重要,能看有没有结节、功能正不正常。我朋友备孕时查出甲状腺问题,调好了再怀,现在宝宝很健康。做B超就放宽心去,别自己吓自己,检查好了心里也踏实。

甲状腺B超对备孕没影响。B超是超声波检查,不像X光有辐射。我怀老大前也做过甲状腺B超,当时也担心,后来医生说没事。做B超就是探头在脖子上滑滑,很快就好。备孕检查甲状腺很重要,能看有没有结节、功能正不正常。我朋友备孕时查出甲状腺问题,调好了再怀,现在宝宝很健康。做B超就放宽心去,别自己吓自己,检查好了心里也踏实。

确实很便宜,还是旗舰店发货的最起码能保证是真货
我有的是时间,你就告诉我咋薅就行
不知道怎么进群的加我V:chongdien
厂家抽风的时候券后1毛钱一提的黑金帮你敢信?
你们都在哪领的啊0.0
铁粉来报,刚看了下领券记录,这两年用了三万多块钱的券,信息差真的很重要